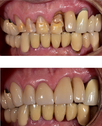
ΣΤΕΦΑΝΕΣ ΖΙΡΚΟΝΙΟΥ ΜΕ ΔΙΑΣΤΡΩΜΑΤΩΣΗ ΠΟΡΣΕΛΑΝΗΣ

πριν & μετά

ΣΤΕΦΑΝΕΣ ΖΙΡΚΟΝΙΟΥ ΜΕ ΔΙΑΣΤΡΩΜΑΤΩΣΗ ΠΟΡΣΕΛΑΝΗΣ

Μονολιθικες στεφανες ζιρκονιου

πριν & μετά

Μονολιθικες στεφανες ζιρκονιου

γεφυρα ζιρκονιου

πριν & μετά

γεφυρα ζιρκονιου

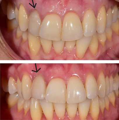
Ορθοδοντικη εργασια invisalign

πριν & μετά

Ορθοδοντικη εργασια invisalign

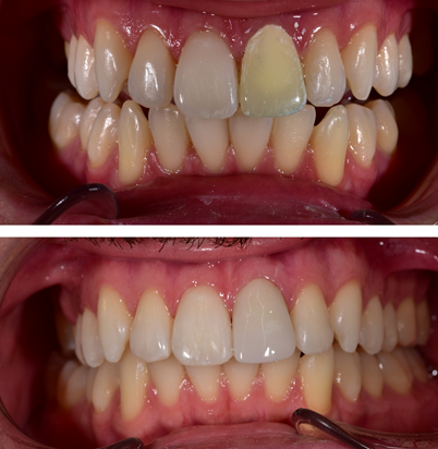
Μονολιθικη στεφανη ζιρκονιου

πριν & μετά

Μονολιθικη στεφανη ζιρκονιου

Λευκανση

πριν & μετά

Λευκανση

Τοποθετηση εμφυτευματος

πριν & μετά

Τοποθετηση εμφυτευματος και μονολιθικης στεφανης ζιρκονιου

Πριν & Μετά Οδοντιατρικές υπηρεσίες

πριν & μετά

Γεφυρα πεταλλοπορσελανης και οψη ριτινης

οψη ριτινης

πριν & μετά

οψη ριτινης

μονολιθικη στεφανη

πριν & μετά

μονολιθικη στεφανη ζιρκονιου